Abstract
Immunoglobulin G4-related disease (IgG4-RD) is an autoimmune disorder associated with fibroinflammatory conditions that can affect multiple organs. Hallmark histopathological findings of IgG4-RD include lymphocytic infiltration of IgG4-positive plasma cells, storiform fibrosis, and obliterative phlebitis. However, little is known about central nervous system involvement of IgG4-RD. Hypertrophic pachymeningitis (HP) has recently been reported as a manifestation of IgG4-RD, which may have previously been demonstrated in a significant percentage of idiopathic cases. Herein, we report a rare case of a 63-year-old male who presented with a scalp mass that mimicked a brain tumor. He was diagnosed with IgG4-related HP (IgG4-RP) after surgery. This case suggests that awareness of a possibility of IgG4-RP in patients with isolated scalp masses, even in the absence of systemic symptoms, is crucial. A combination of careful history taking, evaluation of serum IgG4-levels and imaging as an initial work-up, followed by tissue biopsy, is important for the differential diagnosis of IgG4-RP, malignancy, and other infectious diseases.
Hypertrophic pachymeningitis (HP) is a rare condition characterized by thickening of the dura mater with or without inflammation. The most common manifestations are chronic headache, cranial nerve defects, and neuro-ophthalmic complications, including papilledema, optic neuropathy, and visual field defect [1]. The diagnosis of HP is challenging. HP can be idiopathic or associated with secondary conditions, including autoimmunity (rheumatoid arthritis and granulomatosis polyangiitis), malignancy (brain neoplasm, lymphoma, and metastasis), and infectious diseases (bacterial or fungal meningitis, tuberculosis, and syphilis). However, if evaluation fails to detect an underlying etiology, idiopathic HP is considered [2].
Immunoglobulin G4-related disease (IgG4-RD) is an autoimmune disorder related to fibroinflammatory conditions that can affect multiple organ systems [3]. Hallmark histopathological findings of IgG4-RD include lymphocytic infiltration by IgG4-positive plasma cells, storiform fibrosis, and obliterative phlebitis [4]. Several case reports and series have shown that central nervous system (CNS) involvement in IgG4-RD can lead to IgG4-related HP (IgG4-RP) [5,6]. Little is known about the initiation of the pathogenic processes of IgG4-RD and IgG4-RP; however, it has been proposed that activated B and T lymphocytes, eosinophils, and macrophages stimulate fibroblasts and induce collagen deposition, thereby leading to tissue hypertrophy and thickening of the dura mater [7]. Recent studies have demonstrated that a subset of patients previously considered as idiopathic HP might be associated with IgG4-RP; therefore, the prevalence of IgG4-RP still remains unclear [8,9].
As reports of IgG4-RP involving skulls are very rare, we report a case of IgG4-RP mimicking a brain tumor in a 63-year-old male who presented with scalp mass. This case report is followed by a literature review on IgG4-RP.
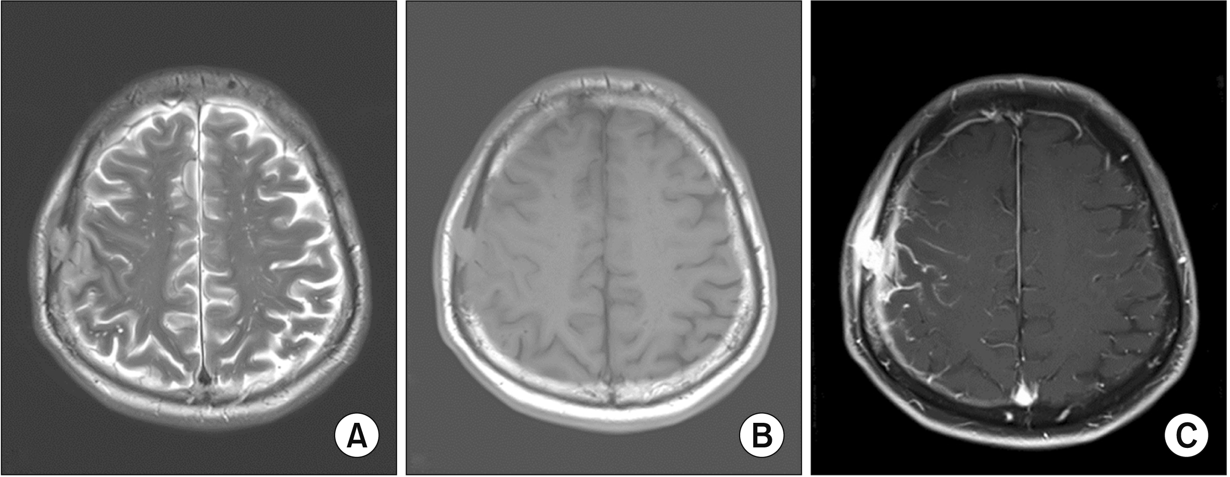
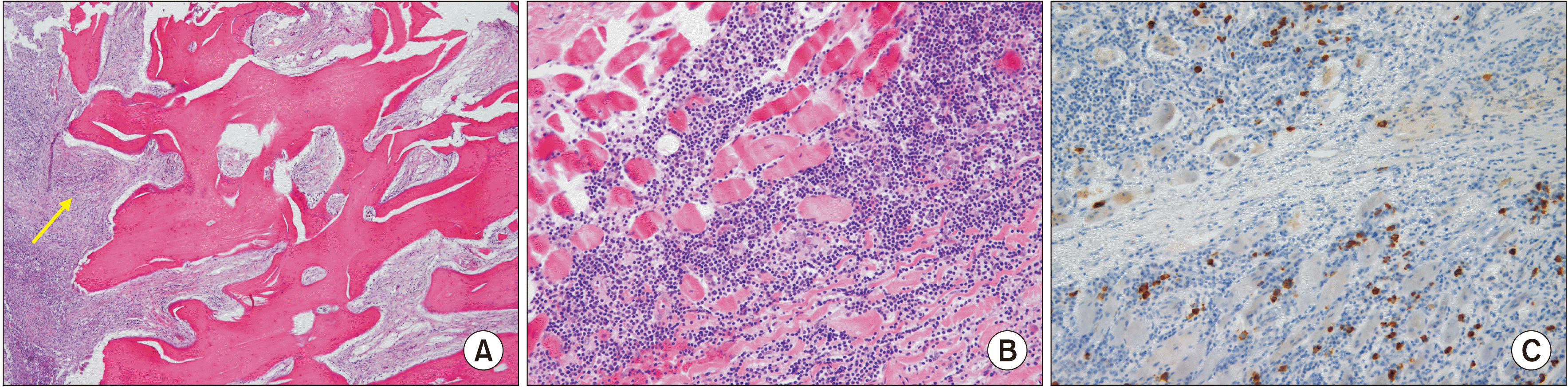
A 63-year-old previously healthy male presented to our neurosurgery department with a palpable mass on the right frontal scalp. He had recognized a palpable mass 1 month previously, accompanied by mild dizziness. There was no history of fever, weight loss, headache, loss of consciousness, or any other neurological and musculoskeletal manifestations. There was no palpable cervical lymphadenopathy, and neurological examination findings were normal. Brain magnetic resonance imaging was performed, which revealed a 1.5-cm enhancing mass with adjacent subgaleal tissue thickening/enhancement and bony destruction in the right frontal area. Dural thickening with enhancement and leptomeningeal enhancement along the right cerebral convexity are shown (Figure 1). Differential diagnosis was recommended for malignant bone tumors or bone metastases combined with pachymeningeal and leptomeningeal metastases. Surgery was performed to diagnose and resect the brain mass. Initial laboratory evaluation revealed an white blood cell count of 7.9×103/μL (reference range: 3.8~10.0×103/μL) with a differential of 69.3% neutrophils (50.0%~75.0%) and 1.5% eosinophil (0.0%~5.0%), hemoglobin of 14.4 g/dL (13.0~17.0 g/dL), and a platelet of 334×103/μL (150~400×103/μL). Routine chemistry, and electrolyte reveled no abnormality. Qauntiferon and serology for hepatitis B and human immunodeficiency virus were negative. Erythrocyte sedimentation rate (ESR) and C-reactive protein (CRP) levels were 25 mm/h (0~10 mm/h) and 2.3 mg/dL (0~0.5 mg/dL), respectively, before the operation; these values decreased to 12 mm/h and 1.51 mg/dL, respectively, on postoperative day one (POD 1). Postoperative histopathology revealed HP with storiform fibrosis, destruction of the skull, and marked infiltrations of lymphocytes, plasma cells, and histiocytes without granulomatous inflammation (Figure 2A and 2B). Immunohistochemistry showed that IgG4-positive cells increased to 68 in a high power field (HPF) with IgG4/IgG ratio of 22.7%, while negative for epithelial membrane antigen and pan-cytokeratin with nonspecific for vimentin was noted (Figure 2C). Although naproxen and antibiotics were administered after the surgery, ESR and CRP increased to 21 mm/h and 3.99 mg/dL, respectively, on the day of consultation (POD 19; Figure 3). The patient was transferred to the rheumatology department for further follow-up and management. For several years, the patient had dry eyes and hearing difficulties in both ears. Tests for antinuclear antibody, antineutrophil cytoplasmic antibody, rheumatoid factor, anti-cyclic citrullinated peptide antibody, and angiotensin-converting enzyme were negative. Chest and abdominopelvic computed tomography revealed no evidence of lymphadenopathy, splenomegaly, and other primary tumors or other organ involvement. Plasma IgG and IgG4 testing were 1,094.4 mg/dL (reference range: 680~1,620 mg/dL) and 9.6 mg/dL (reference range: 3.9~86.4 mg/dL), respectively, on POD 17. Serum levels of ESR and CRP decreased dramatically just one day after starting prednisolone (0.5 mg/kg), which normalized three days after the steroid therapy (Figure 3). The oral prednisolone was slowly tapered off and overlapped with azathioprine (50 mg/day) as maintenance therapy. No evidence of recurrence was found at his two-year follow-up.
The study was approved by the Institutional Review Board of Gachon University Gil Medical Center (IRB approval no. GDIRB2023-107). The IRB granted a waiver of informed consent.
IgG4-RD is a multisystemic disease. Autoimmune pancreatitis was first identified as IgG4-RD in 2001 [10]. However, IgG4-RD of the CNS is relatively uncommon and IgG4-RP with skull involvement is underrecognized. HP was recently reported as a manifestation of IgG4-RD after an initial report in 2009 [9], which may have demonstrated a significant percentage of cases considered as idiopathic [11].
Only a few case reports and small case series have described IgG4-RP. Yonekawa et al. [12] conducted a nationwide HP study in 2014. They reported that 8.8% (14/159) of IgG4-HP cases were diagnosed over five years, and the male to female ratio was 1:0.17. In another case series study by Melenotte et al. [13] in 2019, they showed that the frequency of IgG4-RP cases was 10.7% (3/28) from a single center and 4.1% (8/195) from a national case registry. Most patients with IgG4-RD were >50 years of age and showed a male preponderance. However, the nature of IgG4-RP involving skull is not well described in the literature. Furthermore, the 2019 American College of Rheumatology/European League Against Rheumatism (ACR/EULAR) classification criteria for IgG4-RD did not highlight the rare manifestation of IgG4-RP involving skulls [3]. Hence, after more frequent pathologies were ruled out, IgG4-RD should be considered as possible differential diagnosis of a scalp mass.
IgG4-related HP can manifest as headaches, dizziness, seizures, and several neurological deficits; however, these symptoms are nonspecific for the differential diagnosis of various types of HP. Although, IgG4-RD can affect any organs, such as the retroperitoneum, salivary glands, pulmonary glands, and orbits, more than half of the cases of IgG4-RP were reported as isolated form [14]. In addition, the level of IgG4 often provides a key information for the diagnosis of IgG4-RD; however, up to 50% of patients with IgG4-RD have serum IgG4 concentrations within normal limits [15]. Thus, the diagnosis of IgG4-RD does not depend on serum IgG4 concentration.
Histological findings are essential for diagnosing IgG4-RD. The three hallmark histopathological findings of IgG4-RD are lymphocytic infiltration of IgG4-positive plasma cells, storiform fibrosis, and obliterative phlebitis. According to the 2019 IgG4-RD classification criteria for histopathology, an IgG4:IgG ratio >40% and the number of IgG4-positive cells in a HPF were assigned the highest weights [3]. In our case, serum IgG4-levels after the operation were within the normal range, although we did not assess serum IgG4 levels before the surgery. However, biopsy of the scalp mass lesion revealed storiform fibrosis, marked infiltrations of lymphocytes, plasma cells, and histiocytes, and detection of IgG4-positive cells of up to 68 in the HPF with IgG4/IgG ratio of 22%. The total score was 20, and our case fulfilled the 2019 ACR/EULAR classification criteria for IgG4-RD [3]. Therefore, in patients who present with a scalp mass with or without extracranial manifestations, a combination of careful history taking and evaluation of serum IgG4-levels and imaging as an initial work-up, followed by tissue biopsy, is important for the differential diagnosis of IgG4-RP, malignancy, and other infectious diseases.
There is no consensus on the treatment guidelines for IgG4-RP. However, it is agreed that systemic glucocorticoids are primary treatments for IgG4-RP in conjunction with surgery [7]. Surgical resection plays a beneficial role in providing decompression of the spinal cord and a tissue-proven diagnosis. IgG4-RD usually responds well to moderate or high doses of glucocorticoids, but approximately 25% of patients experienced flares. Therefore, maintenance of glucocorticoids for at least 3 to 6 months, followed by glucocorticoid-sparing agents, such as azathioprine, methotrexate, or mycophenolate mofetil, is recommended for the prevention of relapse. Rituximab is an alternative therapeutic option for patients with contraindications or intolerance to glucocorticoid therapy. Further prospective studies are required to evaluate effective treatment strategies.
In summary, this report presents a rare case of IgG4-RP that mimicks a brain tumor without systemic manifestations. In patients with isolated scalp masses, IgG4-RP should be included for a differential diagnosis, after more common pathologies were excluded. To diagnose of IgG4-RP, histopathological confirmation remains the gold standard, and comprehensive approach correlated with clinical, laboratory and imaging findings are crucial. Further prospective studies are required to gain a deeper understanding of IgG4-RP.
ACKNOWLEDGMENTS
The authors would like to thank Prof. Hee-Young Hwang Department of Radiology, Gachon University Gil Medical Center, South Korea for providing radiological advice, and Dr. Jisup Kim in Department of Pathology, Gachon University Gil Medical Center, South Korea for helpful guidance in pathologic analysis.
Notes
AUTHOR CONTRIBUTIONS
Conceptualization: H.J.C.; Data curation: J.Y., G.T.Y.; Formal analysis: J.Y., J.S.; Methodology: H.J.B.; Project administration: H.J.C.; Visualization: J.Y., M.R.S.; Writing-original draft: J.Y., H.J.C.; Writing-review & editing: J.Y., G.T.Y., H.J.C.; All authors have read and approved the final version.
REFERENCES
1. Hassan KM, Deb P, Bhatoe HS. 2011; Idiopathic hypertrophic cranial pachymeningitis: three biopsy-proven cases including one case with abdominal pseudotumor and review of the literature. Ann Indian Acad Neurol. 14:189–93. DOI: 10.4103/0972-2327.85891. PMID: 22028532. PMCID: PMC3200042. PMID: f4a28e4185ea463c84aa1c4f9d6510b4.
2. Kupersmith MJ, Martin V, Heller G, Shah A, Mitnick HJ. 2004; Idiopathic hypertrophic pachymeningitis. Neurology. 62:686–94. DOI: 10.1212/01.WNL.0000113748.53023.B7. PMID: 15007115.
3. Wallace ZS, Naden RP, Chari S, Choi HK, Della-Torre E, Dicaire JF, et al. 2020; The 2019 American College of Rheumatology/European League Against Rheumatism classification criteria for IgG4-related disease. Ann Rheum Dis. 79:77–87. DOI: 10.1136/annrheumdis-2019-216561. PMID: 31796497.
4. Deshpande V, Zen Y, Chan JK, Yi EE, Sato Y, Yoshino T, et al. 2012; Consensus statement on the pathology of IgG4-related disease. Mod Pathol. 25:1181–92. DOI: 10.1038/modpathol.2012.72. PMID: 22596100.
5. Levraut M, Cohen M, Bresch S, Giordana C, Burel-Vandenbos F, Mondot L, et al. 2019; Immunoglobulin G4-related hypertrophic pachymeningitis: a case-oriented review. Neurol Neuroimmunol Neuroinflamm. 6:e568. DOI: 10.1212/NXI.0000000000000568. PMID: 31355304. PMCID: PMC6624094.
6. Dong LL, Sheikh IS, Huang AH, Wu XH, Chen EG, Ying KJ. 2021; Immunoglobulin G4-related disease: case report and literature review. Immunol Res. 69:415–21. DOI: 10.1007/s12026-021-09215-2. PMID: 34374950.
7. Lu LX, Della-Torre E, Stone JH, Clark SW. 2014; IgG4-related hypertrophic pachymeningitis: clinical features, diagnostic criteria, and treatment. JAMA Neurol. 71:785–93. DOI: 10.1001/jamaneurol.2014.243. PMID: 24733677.
8. Berger JR, Snodgrass S, Glaser J, Post MJ, Norenberg M, Benedetto P. 1989; Multifocal fibrosclerosis with hypertrophic intracranial pachymeningitis. Neurology. 39:1345–9. DOI: 10.1212/WNL.39.10.1345. PMID: 2797457.
9. Chan SK, Cheuk W, Chan KT, Chan JK. 2009; IgG4-related sclerosing pachymeningitis: a previously unrecognized form of central nervous system involvement in IgG4-related sclerosing disease. Am J Surg Pathol. 33:1249–52. DOI: 10.1097/PAS.0b013e3181abdfc2. PMID: 19561447.
10. Hamano H, Kawa S, Horiuchi A, Unno H, Furuya N, Akamatsu T, et al. 2001; High serum IgG4 concentrations in patients with sclerosing pancreatitis. N Engl J Med. 344:732–8. DOI: 10.1056/NEJM200103083441005. PMID: 11236777.
11. Wallace ZS, Carruthers MN, Khosroshahi A, Carruthers R, Shinagare S, Stemmer-Rachamimov A, et al. 2013; IgG4-related disease and hypertrophic pachymeningitis. Medicine (Baltimore). 92:206–16. DOI: 10.1097/MD.0b013e31829cce35. PMID: 23793110. PMCID: PMC4553969.
12. Yonekawa T, Murai H, Utsuki S, Matsushita T, Masaki K, Isobe N, et al. 2014; A nationwide survey of hypertrophic pachymeningitis in Japan. J Neurol Neurosurg Psychiatry. 85:732–9. DOI: 10.1136/jnnp-2013-306410. PMID: 24273222.
13. Melenotte C, Seguier J, Ebbo M, Kaphan E, Bernit E, Saillier L, et al. 2019; Clinical presentation, treatment and outcome of IgG4-related pachymeningitis: from a national case registry and literature review. Semin Arthritis Rheum. 49:430–7. DOI: 10.1016/j.semarthrit.2019.05.003. PMID: 31155444.
14. Saitakis G, Chwalisz BK. 2021; The neurology of IGG4-related disease. J Neurol Sci. 424:117420. DOI: 10.1016/j.jns.2021.117420. PMID: 33845982.
15. Masaki Y, Kurose N, Yamamoto M, Takahashi H, Saeki T, Azumi A, et al. 2012; Cutoff values of serum IgG4 and histopathological IgG4+ plasma cells for diagnosis of patients with IgG4-related disease. Int J Rheumatol. 2012:580814. DOI: 10.1155/2012/580814. PMID: 22654917. PMCID: PMC3357966. PMID: 2c5a55b119ac482cbab259cb7a740320.
Figure 1
Brain magnetic resonance imaging of preoperation shows an enhanced extraaxial mass-like lesion with adjacent subgaleal tissue thickening/enhancement, bony destruction in the right frontal area, dural thickening/enhancement, and leptomeningeal enhancement along the right cerebral convexity. (A) T2-axial, (B) precontrast T1-axial, and (C) postcontrast T1-axial images.
Figure 2
Histopathologic findings of tissue biopsy from scalp lesion. (A) Storiform fibrosis (yellow arrow) with destruction of the skull on H&E stain (×100). (B) Dense fibrosis and infiltration of inflammatory cells including lymphocytes, plasma cells and histiocytes on H&E stain (×200). (C) Increased immunoglobulin G4-positive cells (up to 68/high power field on immunoglobulin G4 immunohistochemistry stain) (×200).



PDF
Citation
Print



XML Download