TO THE EDITOR: When a child has an intracranial hemorrhage (ICH), child abuse should be considered a potential cause [1]. As with any other differential diagnoses being considered, investigations must be performed to identify occult injuries when abuse is suspected [2]. Victims of abuse typically have injuries in multiple areas in various stages of healing [1]. Bruises, bites, burns, fractures, abdominal trauma, and head trauma are the most common physical findings [1]. Suspicious inflicted injuries include posterior rib fractures, retinal hemorrhages, metaphyseal or complex skull fractures, long bone fractures, and cigarette burns in infants [1]. Moreover, subdural hemorrhage in infants is highly suggestive of inflicted trauma [1].
The prevalence of ICH in children with hemophilia is approximately 12% [3], with almost all cases occurring after trauma [3]. However, patients with severe hemophilia (factor level, 0–1%) have numerous hemorrhages from spontaneous bleeding into muscles and joints and ICH, which is the most feared complication [4]. In these patients, the symptoms are headache (44.8%), vomiting (44.8%), lethargy (41.3%), convulsions (10.3%), coma (10.3%), and various neurological symptoms [5]. Herein, we report a case of an 8-month-old infant who was initially suspected of experiencing child abuse due to ICH and skull fractures. However, after laboratory examination and police investigations, he was finally diagnosed with severe hemophilia A without child abuse and managed with coagulation factor VIII. This study was approved by the Institutional Review Board of Keimyung University Dongsan Hospital (approval no. 2022-03-029) and performed in accordance with the Declaration of Helsinki.
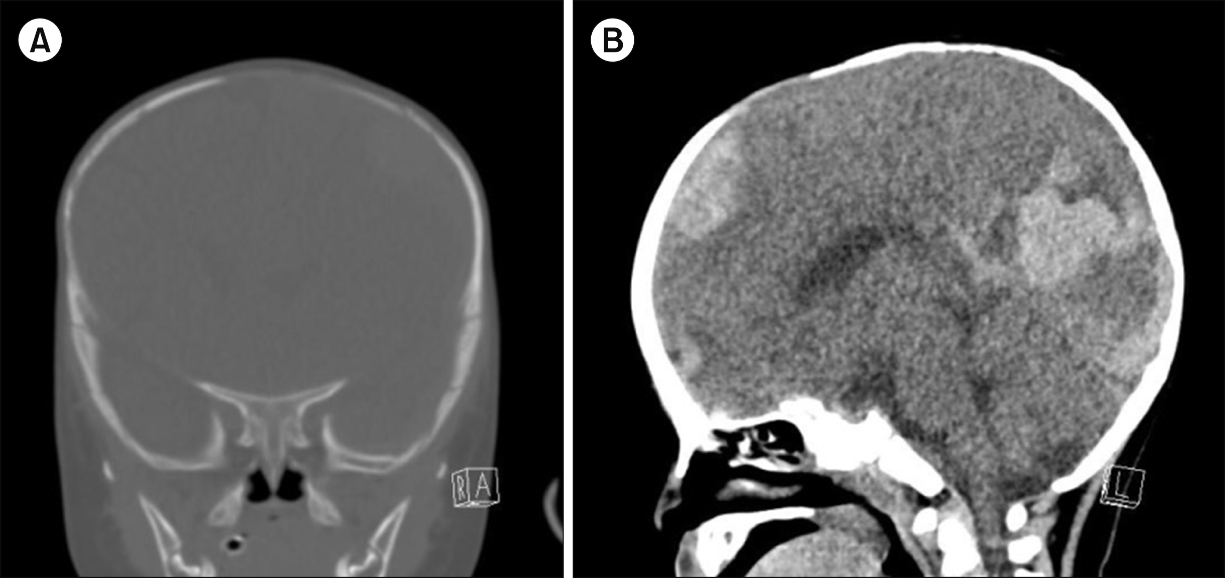
An 8-month-old male infant visited the emergency room for status epilepticus with stupor and prolonged fever. Initial vital signs were as follows: blood pressure, 70/40 mmHg; heart rate, 182 beats/min; oxygen saturation, 56%; and body temperature, 39.1°C. Initial laboratory tests revealed the following: pH, 7.147, (reference, 7.32–7.41); pCO2, 73 mmHg (reference, 42–52 mmHg); white blood cell count, 27.63× 109/L (reference, 6–15×109/L); hemoglobin, 6.4 g/dL (reference, 10.5–14.0 g/dL); mean corpuscular volume, 79.8 fL (normal value at 8 mo, 70 fL); mean corpuscular hemoglobin level, 24.3 pg (normal value at 8 mo, 23 pg); platelet count, 875×109/L (reference, 130–400×109/L); prothrombin time (PT), 14 s (reference, 10–14 s), and activated partial thromboplastin time (aPTT), 86.4 s (reference, 20.0–33.5 s); C-reactive protein level, 13.2 mg/dL (reference, <0.5 mg/dL); erythrocyte sedimentation rate, 86 mm/h (reference, 0–15 mm/h); aspartate transaminase level, 113 U/L (reference, 22–63 U/L); and alanine transaminase level, 56 U/L (reference, 12–46 U/L). Computed tomography of the brain without contrast was performed because of severe anemia, which revealed fractures of the left temporal and parietal bones (Fig. 1A), acute epidural hematoma along the entire left hemisphere and falx cerebri, multifocal hemorrhagic contusion of the left cerebral hemisphere, associated subfalcine herniation, and brain edema (Fig. 1B). There were no significant wounds or bruises other than two on the forehead and chest, which were caused by bumping into a friend while playing. Imaging tests revealed skull fractures with ICH; thus, police investigations for child abuse were initiated. Police investigation was conducted according to the standard protocol of the hospital for pediatric patients with ICH. The medical staff was involved in administering only medical treatment to the patient, which ensured good rapport with the patient’s parents.
The patient was managed with antiepileptic drugs and intubated, and mechanical ventilation was applied. The medical condition was initially considered to be disseminated intravascular coagulation associated with sepsis; thus, broad-spectrum antibiotics were administered. As echocardiography showed diffuse dilatation of the left main coronary artery, intravenous immunoglobulin (2 g/kg) was administered to assess atypical Kawasaki disease. After immunoglobulin injection, the high fever subsided. Additional tests were performed to confirm child abuse. Ophthalmologic examination of the patient did not reveal retinal hemorrhage. Radiography showed no bony fracture other than the skull. Because of the borderline PT and definite prolongation of aPTT, a coagulation workup was also performed; coagulation factor VIII (FVIII) was markedly decreased to 0.4% (reference, 60–140%) and FVIII Ab to 0 BU. Other coagulation factors, except FVIII, were within the normal range. Thus, the patient was diagnosed with severe hemophilia A, and an extended half-life (EHL) recombinant factor VIII (rFVIII) concentrate was prescribed for 2 weeks to manage the ICH. The brain image showed a mild subfalcine herniation associated with diffuse ICH and cerebral edema. The Department of Neurosurgery was consulted, and it was proposed that invasive surgery would not result in significant improvement of hemiparesis. Hemophilia was an additional factor that limited aggressive surgical treatment. Thus, surgery was not performed because the risks of surgical treatment were greater than the benefits. Since the patient was very young with minimal movement, the parents were unaware of whether the patient had bleeding tendency. Considering that hemophilia A has an X-linked recessive inheritance, we suggested hematologic workup, including FVIII, to the patient’s mother; however, she refused the laboratory tests. The patient had no siblings, and there was no family history of bleeding tendency.
After several months of police investigations, including parent summons and closed-circuit television analysis of the daycare center, no evidence of child abuse was found. Ultimately, it is possible that the patient hit his head while playing, and it is presumed that he developed ICH because he had severe hemophilia A as an underlying disease. Skull fractures that are depressed, wider than 3 mm, multiple, stellate, crossing a suture line, or on the base of the skull are more likely to be caused by high-force trauma, including abuse [6]. However, some linear parietal skull fractures and extradural hemorrhage can occur because of short-distance falls [6]. In another study, a boy was admitted to the hospital with a linear parietal fracture, a common accidental injury in infants [7]. Therefore, a fracture caused by common accidental injury, not child abuse, could be considered for the present patient. Moreover, the fact that retinal hemorrhage, visible wounds, and multiple bruises were not observed in this patient also supports the evidence that it was not child abuse. The follow-up image of the brain after 2 weeks of treatment with EHL rFVIII concentrate showed ICH resolution. The patient is currently 17 months of age, under prophylaxis with EHL rFVIII concentrate, and undergoing rehabilitation for right-sided hemiparesis. The strength of the right arm was still slightly reduced, and the left arm was mainly used; however, the patient was in a good overall condition and was walking well. The antiepileptic drug, which was initially used for convulsions, is still being used because of myoclonic seizures, which occur occasionally in children and are being followed by pediatric neurologists.
In conclusion, we present the case of an infant with severe hemophilia A who developed ICH and was initially mistaken as caused by child abuse. He was treated with an EHL rFVIII concentrate for 2 weeks for ICH. After ICH resolution, he was under prophylaxis with EHL rFVIII concentrate and rehabilitated for right-sided hemiparesis. This case reminds us that, although child abuse is an important cause of skull fractures and ICH, the child could have an underlying congenital bleeding disorder. Emergency medical doctors, pediatricians, and neurosurgeons should always bear these situations and differential diagnoses while handling cases of pediatric ICH.
REFERENCES
1. McDonald KC. 2007; Child abuse: approach and management. Am Fam Physician. 75:221–8. PMID: 17263217.
2. Maguire S. 2010; Which injuries may indicate child abuse? Arch Dis Child Educ Pract Ed. 95:170–7. DOI: 10.1136/adc.2009.170431. PMID: 20926622.

3. Nagel K, Pai MK, Paes BA, Chan AK. 2013; Diagnosis and treatment of intracranial hemorrhage in children with hemophilia. Blood Coagul Fibrinolysis. 24:23–7. DOI: 10.1097/MBC.0b013e32835975d6. PMID: 23080364.

4. Quinones-Hinojosa A, Gulati M, Singh V, Lawton MT. 2003; Spontaneous intracerebral hemorrhage due to coagulation disorders. Neurosurg Focus. 15:E3. DOI: 10.3171/foc.2003.15.4.3. PMID: 15344896.

5. Hu Q, Zhang A, Liu AG, Wang SM, Wang YQ, Zhang LQ. 2018; A retrospective analysis of intracranial hemorrhage in children with hemophilia A. Curr Med Sci. 38:875–9. DOI: 10.1007/s11596-018-1956-4. PMID: 30341523.

6. Wilkins B. 1997; Head injury--abuse or accident? Arch Dis Child. 76:393–6. discussion 396–7. DOI: 10.1136/adc.76.5.393. PMID: 9196352. PMCID: PMC1717202.
7. Blumenthal I. 2000; Skull fracture--child abuse or an accident? Lancet. 356:258. DOI: 10.1016/S0140-6736(05)74515-3. PMID: 10963234.

Fig. 1
Computed tomography of brain in an infant with severe hemophilia A with intracranial hemorrhage mistaken to be caused by child abuse. (A) Left temporal and parietal bone fractures. (B) Acute epidural hematoma along the entire left hemisphere and falx cerebri, multifocal hemorrhagic contusion of left cerebral hemisphere, associated subfalcine herniation, and brain edema.



PDF
Citation
Print


XML Download