Abstract
A nasal hemangioma is a rare lesion that causes intranasal bleeding. When endoscopically removing an endonasal hemangioma, the minimization of bleeding is imperative to optimize visualization and decrease complications. Many methods can be used to decrease bleeding during endoscopic removal, including cautery and embolization. We treated one patient with a hemangioma arising from the mucosa of the right inferior turbinate, which was removed successfully using a minimally invasive endoscopic endonasal technique with radiofrequency coblation to minimize bleeding. Herein we report this case and review the literature.
혈관종은 50% 이상이 두경부 영역에서 발생하나, 비강 안에서의 발생은 드문 것으로 보고되었고, 발생은 주로 비중격, 비강 측벽 및 비전정으로 보고되고 있다[1,2]. 비폐쇄 증상과 더불어 비출혈 증상 또한 흔하게 나타나며, 증상 없이 우연히 발견되는 예도 있다. 혈관종 제거 시 출혈 등으로 인하여 수술 시야의 확보가 어려운 경우가 발생할 수 있어 주의를 필요로 하게 된다[3].
저자들은 비폐쇄 증상과 함께 반복되는 비출혈 증상으로 내원한 환자의 우측 하비갑개에서 기원한 모세관 혈관종을 내시경하 라디오 주파수 코블레이션 방식으로 출혈을 최소화하여 시야 확보가 쉬운 상태에서 제거한 1예를 체험하였기에 문헌 고찰과 함께 보고하는 바이다.
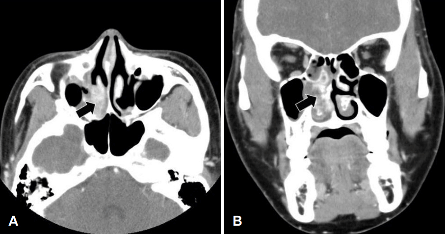
43세 여자 환자가 약 2개월 전부터 간헐적으로 발생한 우측 비출혈과 비폐쇄를 주소로 본원에 내원하였다. 환자는 당뇨, 혈압, 부비동 수술의 병력은 없었고, 임신은 하지 않은 상태였다. 부비동 내시경에서 우측 하비갑개와 비중격 사이를 채우는 불규칙한 표면의 혈관이 풍부한 종괴가 관찰되었고, 조그마한 자극에도 쉽게 출혈하는 경향을 보였다(Fig. 1). 이 종괴는 비중격과 접촉하고 있었으며, 비중격은 우측으로 편위된 상태였다. 이 외에 비강 내 다른 부위의 이상소견은 보이지 않았다. 내원 당시 시행한 전산화단층촬영에서 우측 중비갑개, 하비갑개, 비중격에 접하는 약 3×1.5 cm 크기의 저음영의 연조직 병변이 관찰되었고, 우측 비강 후방을 채우고 있었으며 내부에는 일부 조영 증강이 되는 부분들이 있었다(Fig. 2). 종괴의 제거는 전신마취하에 0°와 30°의 외경 4 mm 내시경(Karl Storz, Tuttlingen, Germany)을 이용한 라디오 주파수 코블레이션 방법으로 하였다. 라디오 주파수 코블레이션은 EVac 70(ArthroCare, Suunyvale, CA, USA)을 사용하였다. 이는 절제 방식(ablation mode)과 지혈 방식(coagulation mode)으로 구성되며, 기본 주파수는 100 kHz이고 실효 전압은 0~300 voltage를 사용한다. 각 방식마다 0~9단계로 조절할 수 있는데, 절제 방식은 7단계로, 지혈 방식은 3단계로 설정하였다. 또한 라디오 주파수 코블레이션의 식염수 세척 속도는 초당 1~3방울이 나오는 정도로 조절하였고, 절제나 지혈 시 발생하는 연기는 라디오 주파수 코블레이션의 흡인 기능으로 제거하였다.
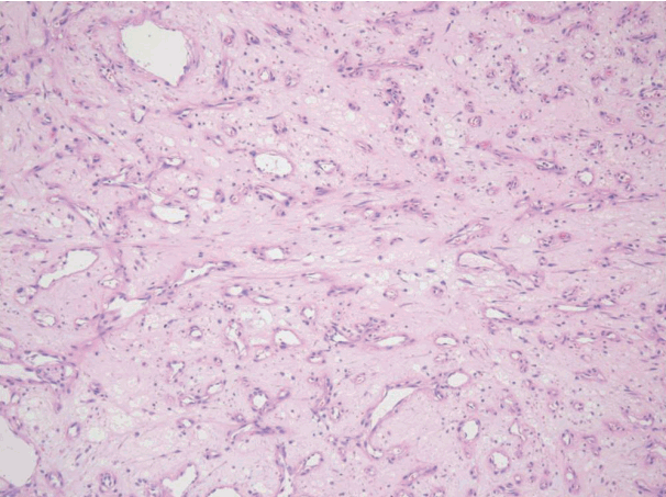
라디오 주파수 코블레이션을 이용하여 절제 방식으로 종괴의 크기를 일부 축소하면서 종괴의 유착 부위를 확인하였다. 절제 시 종괴에서 출혈이 발생할 때는 라디오 주파수 코블레이션의 지혈 방식으로 적용하여 지혈하였다. 내시경 소견상 종괴의 유착 부위가 우측 하비갑개 후방 점막에 있었고, 비중격 등 다른 조직과의 유착이나 침습 소견은 없었다. 이에 다른 비강의 구조물들을 최대한 보존하면서 우측 하비갑개의 유착 부위로부터 종괴를 라디오 주파수 코블레이션의 절제 방식을 이용하여 하비갑개와 분리하였다(Fig. 3). 분리 후 하비갑개에 유착되었던 부위를 라디오 주파수 코블레이션의 절제 방식으로 수차례 더 절제한 후 지혈 방식으로 전환하여 지혈하였다. 비중격이 우측으로 편위되어 있어 우측 비강 내의 공간이 좁아 종괴는 구강을 통해 적출하였다. 이후 잔존 종괴가 없음을 확인하고 비 팩킹을 시행하였다. 병리 소견상 수많은 모세혈관 크기의 혈관들이 배열되어 있어 모세관 혈관종으로 최종 진단되었다(Fig. 4). 수술 1일째 비 팩킹을 제거하였고 출혈 등 합병증이 없는 상태로 퇴원하였으며, 별다른 합병증이나 재발 없이 10개월간 외래 추적관찰 중이다.
혈관종은 선천성 두경부 양성 종양 중 가장 흔한 질환 중 하나로, 모세관 혈관종과 해면상 혈관종, 혼합형 등으로 나뉜다. 두피와 얼굴, 구순부, 구강 안 점막 등에 자주 생기나, 비강이나 부비동에서의 발생은 비교적 드문 것으로 알려져 있다[4]. 비강 내 혈관종의 증상으로는 무증상에서부터 인두 및 비강의 이물감, 비폐쇄, 잦은 비출혈, 안면 부종 등 혈관종의 위치, 크기에 따라 다양하게 나타난다. 본 증례의 경우 비폐쇄와 반복적인 비출혈을 호소하였다.
비강 내 혈관종의 치료는 환자의 연령, 발생 부위, 비출혈증상의 여부, 조직학적 특성 등을 고려하여 결정하게 되는데, 자연 소실의 속도나 단계 등의 예상이 어려워 치료 방법의 결정이 쉽지 않다[1]. 환자의 연령이 어릴수록 대부분 자연적으로 소실되기 때문에 추적관찰이 주된 치료이나 반복적으로 출혈이 있는 경우나 혈관종으로 인한 비폐쇄, 안와 압박 등의 장애가 발생한 경우, 성인의 경우, 특히 12세 이후까지 존재하는 경우는 자연 퇴행이 드물어서 적극적인 치료를 고려하게 된다[1]. 본 증례의 경우 43세의 성인으로 반복적인 출혈과 비폐쇄 소견이 있어 수술적 치료를 한 경우이다.
비수술적 치료 방법으로는 고용량의 스테로이드 치료가 종양이 커지는 것을 막는 데 효과가 있다고 알려져 있으나[5,6], 주로 소아에서 효과를 보이며 이에 반응을 보이지 않는 경우는 수술적 치료가 필요하다. 수술적 치료 시 발생 부위에 따라 내시경이나 외측 절개술 등의 다양한 접근을 통하여 종물을 제거하게 되며, 재발을 막기 위해 완전 절제가 요구된다[4]. 최근에는 내시경을 이용한 수술적 방법이 발달하여 내시경을 이용한 제거술이 많이 시행되고 있다[7]. 내시경을 이용한 혈관종 같은 출혈성 종물을 제거하는 치료 시 적절한 시야 확보는 안전하고 효과적인 제거를 위해 필수적이다. 적절한 시야 확보 시 가장 문제되는 것 중에 하나는 수술 중 출혈이어서 출혈을 줄이려는 다양한 방법들이 고안되었다. 소작술[8]과 레이저치료[5,6], 수술 전 혈관 조영술 검사를 이용하여 영양(feeding)혈관을 찾아 술 전 색전술을 시행하는 방법[5,6,9] 등이 있다. 색전술 후 종물의 크기가 줄어드는 경향이 있어 수술적 제거가 쉬워지는 장점이 있으나 두개 내 합병증 발생 가능성이 있기에 신중한 고려와 처치가 필요하다.
라디오 주파수 코블레이션은 편도나 아데노이드 절제술, 하비갑개 수술에서 처음 도입되어 사용된 방식으로 전기소작술에 비해 적은 온도(10~40℃)를 이용하여 주위 조직의 손상을 줄이면서 종괴의 크기를 줄일 수 있고, 출혈을 조절할 수 있는 유용한 방식이다. 라디오 주파수 코블레이션을 이용하여 비강 내 혈관종을 포함한 다양한 종양을 제거한 보고가 국외에서 몇몇 있었으나[3,10] 아직 국내에서는 보고된 바가 없다. Kostrzewa 등[10]에 의하면 내시경을 이용한 부비강 내 종양제거술 23예에서 라디오 주파수 코블레이션을 이용한 방식이 기존의 술식에 비해 시야 확보가 더 좋고 시간당 출혈량이 적었음을 보고하였다. Syed 등[3]은 섬유성 혈관종 제거 시 색전술을 이용한 방식은 평균 출혈이 1040 mL인데에 비해 라디오 주파수 코블레이션을 이용한 방식은 출혈이 약 600 mL였음을 보고하였다. 또한 모세관 혈관종인 경우 출혈이 약 200 mL 이하였고 총 수술 시간은 1.3시간으로 보고하였다. 이에 라디오 주파수 코블레이션은 비강 내 혈관 종양 제거 시 효과적으로 출혈을 줄이면서 수술 시간을 단축할 방법으로 제시하였다. 본 증례에서는 수술 시 출혈량은 약 100 mL였고, 수술 시간은 총 50여 분이었다. 또한, 수술 시 라디오 주파수 코블레이션의 세척 기능과 흡인 기능으로 절제나 지혈하면서 발생하는 연기가 거의 없고 출혈을 쉽게 조절할 수 있어 수술 시야를 확보하기 쉬웠다.
그러나, 라디오 주파수 코블레이션 EVac 70은 크기가 커서 내시경과 함께 비강 내에서 사용할 때 불편함을 일으키기도 한다. 따라서 비강 내에서 사용하기 편리한 적절한 크기와 모양으로 개발이 필요하다[3]. 또한, 이러한 치료 방식은 아직 국내에서는 보험화가 되어 있지 않은 상태여서 보험화에 대한 논의도 필요할 것으로 보인다.
본 증례에서의 모세관 혈관종은 우측 하비갑개에서 기원한 것으로 보이며, 후방 외측 비동맥(posterior lateral nasal artery)의 하비갑개로 가는 분지가 영양 동맥으로 추정된다. 하비갑개에 유착되었던 부위에 혈관종 조직이 남아 있을 가능성을 고려하여 수차례 라디오 주파수 코블레이션의 절제 방식으로 유착 부위에 더 절제를 반복하였는데, 이는 주변의 다른 조직 손상을 최소화하면서 재발을 줄이고자 한 것이었다. 그러나 라디오 주파수 코블레이션을 이용하여 종괴를 절제하는 경우 종괴 조직의 일부가 열에 의하여 괴사하거나 변형되므로 조직학적 검사에서 주의를 요하게 된다.
저자들은 반복적인 비출혈과 비폐쇄을 일으킨 비강 내 모세관 혈관종을 수술 시야를 좋게 하고 수술 중 출혈을 줄이면서 주위 조직의 손상을 최소화할 수 있는 내시경적 라디오 주파수 코블레이션으로 치료하였기에 문헌 고찰과 함께 보고하는 바이다.
REFERENCES
1. Chang DS, Choi MS, Lee HY, Cho CS, Park SG, Park NS, et al. Clinical study of the intranasal hemangioma. Korean J Otorhinolaryngol-Head Neck Surg. 2015; 58(5):324–9.

2. Takeda K, Takenaka Y, Hashimoto M. Intraosseous hemangioma of the inferior turbinate. Case Rep Med. 2010; 2010:409429.

3. Syed MI, Mennie J, Williams AT. Early experience of radio frequency coblation in the management of intranasal and sinus tumors. Laryngoscope. 2012; 122(2):436–9.

4. Park SK, Cho HW, Jang SH, Park CK. Clinical study of lobular capillary hemangioma in nasal cavity. Korean J Otolaryngol-Head Neck Surg. 2000; 43(4):402–5.
5. Bartlett JA, Riding KH, Salkeld LJ. Management of hemangiomas of the head and neck in children. J Otolaryngol. 1988; 17(2):111–20.
6. Moon JH, Hwang DJ, Kim JS, No HS, Lee SE, Kim SH, et al. Clinical study of the hemangioma of the head and neck in adult. Korean J Otolaryngol-Head Neck Surg. 2000; 43(8):878–82.
7. Bai CH, Song SY, Kim YD. Long-term treatment outcomes in endoscopic management of sinonasal benign tumors. Korean J Otolaryngol-Head Neck Surg. 2005; 48(7):895–8.
8. Cho EY, Lee JD, Song JW, Kim MG. A mixed hemangioma originated from the middle turbinate. Korean J Otolaryngol-Head Neck Surg. 2003; 46(10):882–5.
Fig. 1.
Nasal endoscopy shows a hypervascularized irregular mass (black arrow) occupying the right nasal cavity. The mass originated from the posterior section of the right inferior turbinate. S: septum, I: inferior turbinate, M: middle turbinate.
Fig. 2.
Preoperative computed tomography imaging with contrast enhancement. Axial (A) and coronal (B) scans show a low-density soft mass (black arrow) with heterogeneous enhancement between the middle turbinate and inferior turbinate. This mass is also in contact with the right-deviated septum.



PDF
Citation
Print


XML Download