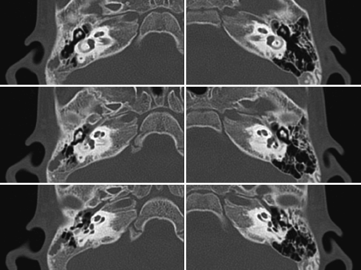
출생 후 시행한 신생아 청각선별검사 상 양측 재검 소견 보여, 생후 2개월경 시행한 청성뇌간반응검사 상 양측 모두 90 dB에 반응없음 소견 보인 6개월 된 환아가 내원하였다. 청력 이외에 다른 기형이나 발달 상의 문제를 보이지는 않았다. 3개월 이상 보청기를 양측에 사용하였으나 외부소리에 대해 반응을 전혀 보이지 않았고, 생후 11개월에 시행한 temporal bone computed tomography (TBCT) 소견은 아래와 같았다. 11개월에 시행한 청성뇌간반응검사 및 청성지속반응 검사에서 모두 반응없음 소견을 보였다.
이 환자에게 인공와우수술을 시행하는데 있어서 다음 중 옳지 않은 설명은?
① 폐렴구균 예방접종을 최소 수술 2주전에 시행하는 것이 필요하며, 폐렴구균 결합백신(pneumococcal conjugate vaccine) 7 또는 13가를 이용할 수 있다.
② 환아의 전신마취 등에 문제가 없다면 가능한 빠른 시기에 양측 인공와우 수술을 동시에 시행하는 것이 권유된다.
③ TBCT상 청신경 저형성(cochlear nerve hypoplasia) 또는 무형성(aplasia)을 의심해볼 수 있다.
④ MR을 시행하여 내이도 안의 청신경 존재 여부를 확인하는 것이 예후 예측에 도움이 될 수 있다.
⑤ TBCT 소견상 인공와우의 예후가 좋지 않을 것으로 판단되므로 인공와우보다 청성뇌간 이식술 (auditory brainstem implant)을 우선적으로 고려해야 한다.
정답 및 해설
답 ⑤
해 설 양측 인공와우 수술의 적응증이 되는 환아로 폐렴구균 예방접종을 시행해야 한다. 2세 미만에서는 7 또는 13가의 폐렴구균 결합백신을 사용할 수 있으며, 2세 이상에서는 폐렴구균 피막다당류백신(Pneumococcal polysaccharide vaccine, PPSV23)을 시행한다. temporal bone computed tomography(TBCT) 상 양측의 bony cochlear nerve canal(BCNC) stenosis가 관찰된다. MR을 시행하여 cochlear nerve의 존재 유무를 확인해볼 수 있다. BCNC stenosis의 경우 그렇지 않은 경우에 비해 인공와우 수술후의 예후가 좋지 않음이 보고되고 있다. 청성뇌간 이식술의 고려대상이 될 수는 있으나, 아직 청성뇌간이식술의 결과가 예측하기 어렵고, BCNC stenosis 환자에서 인공와우수술 후에도 비교적 좋은 결과를 보이는 경우도 있기 때문에 청성뇌간이식술을 우선적으로 고려하기는 어렵다.



PDF
Citation
Print


XML Download