Review
문 1. 다음 전정기능검사들 중에서 안구의 움직임을 이용하여 평가하는 것이 아닌 것은?
① 온도안진검사(caloric test)
② 비디오 두부충동검사(video-head impulse test)
③ 시추적검사(smooth pursuit test)
④ 회전의자검사(rotatory chair test)
⑤ 경부전정유발근전위(cervical-vestibular evoked myogenic potential)
문 2. 비디오 두부충동검사는 여러 가지 이점이 있어 최근 많이 이용되고 있다. 다음 중 온도안진검사와 비교하였을 때의 비디오 두부충동검사의 장점이 아닌 것은?
① 수직 반고리관에 대한 검사가 가능하다.
② 검사로 인한 환자의 불편감이 덜할 수 있다.
③ 검사 시간이 상대적으로 더 짧다
④ 검사에 대한 환자의 협조가 필요하지 않다
⑤ 좀 더 생리적인 주파수의 회전 자극을 이용한 검사이다.
문 3. 47세 남자 환자가 1일 전부터 발생한 현훈을 주소로 내원하였다. 시행한 전정기능검사들에서 다음과 같은 소견을 보였다.
온도안진검사상 우측 80% canal paresis
비디오 두부충동검사상 Right lateral, superior canal의 이득 감소 소견
경부전정유발근전위: 정상
안구전정유발근전위: 이상 소견
다음 중 적절한 진단명은?
① 상하전정신경염(total vestibular neuritis)
② 상전정신경염(superior vestibular neuritis)
③ 하전정신경염(inferior vestibular neuritis)
④ 현훈을 동반한 돌발성 난청(sudden hearing loss with vertigo)
⑤ 팽대 전정신경염(ampullary vestibular neuritis)
Otology
Rhinology
문 1. 수면 무호흡의 생리에 대한 설명 중 틀린 것은?
① 수면 무호흡증은 중추성 수면 무호흡과 폐쇄성 수면 무호흡, 수면 관련 저환기, 저산소 증후군으로 구분될 수 있으며, 65세 이하 성인의 상당수는 폐쇄성 수면 무호흡을 가지고 있다.
② 폐쇄성 수면 무호흡증은 호흡 운동을 하려는 노력이 있으나 상기도의 폐쇄로 인하여 기류 순환이 막히면서 발생하며, 비강, 구강, 비인두, 구인두, 하인두, 후두 등이 원인이 된다.
③ 비폐색으로 인해 야기되는 구강 호흡은 연구개를 포함한 구인두 부위의 떨림(fluttering)을 일으키고, 또한 설기도의 후방 이동을 야기하여 2차적인 설기저부의 폐색을 유발함으로 수면 무호흡을 더욱 악화시킨다.
④ 비중격 성형술 등 비강 수술은 비강 호흡을 호전시키고 수면 무호흡을 호전시켜 환자의 삶의 질을 향상시키나, 양압기의 사용 압력에는 영향을 미치지 못한다.
문 2. 수면 무호흡 환자에서 찍는 두부 X선 촬영(cephalometry)에 대한 설명 중 틀린 것은?
① 수면 무호흡 환자에서 두부 X선 사진은 CT나 MRI에 비해 부정확하지만, 간단한 계측을 통해 평가할 수 있는 지표로 인정된다.
② 수면 무호흡이 심한 환자에서 일반적으로 연구개의 두께는 두껍고 기도 크기는 작은 것으로 나타난다.
③ 비강 수술에 따른 기도 크기 변화는 중등도 이상의 수면 무호흡 환자에서 효과가 크며, 경도의 수면 무호흡 환자에서는 비강 수술로 인한 기도 크기 변화는 없다.
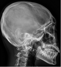
④ 아래 사진에서 a는 soft palate thickness를, b는 retropalatal posterior airway space를 나타내며 C1 척추뼈 앞결절(anterior tubercle)에서 인두 기도의 음영에 직각으로 선을 그어 만나는 부위에서 측정한다.
Head and Neck
문 1. 두경부암의 세포유전학적 변화에 대한 다음의 설명 중 옳은 것은?
① p53이 위치하는 염색체 17p의 소실은 두경부 편평세포암종의 50% 이상에서 관찰된다.
② 인유두종 바이러스 16형과 18형의 E6, E7 유전자 산물은 p53과 Rb를 활성화해서 두경부 편평세포암종을 유발할 수 있다.
③ 두경부 편평세포암종의 경우, 폐 편평세포암종과는 다르게 표피 성장 인자(epidermal growth factor)는 대부분 음성이다.
④ p53의 과발현은 무병생존율의 저하 및 림프절 전이가 연관되어 있다는 보고가 있다.
⑤ p53은 면역과 염증 반응에 관여하는 유전자를 조절하는 전사 인자로 악성 종양의 발달과 진행 과정에 관계한다.
정답 및 해설
Review
문 1. 답 ⑤
해 설 경부전정유발근전위 검사는 안구 운동을 측정하지 않고 하는 검사이다.
문 2. 답 ④
해 설 한 점을 계속 응시하도록 하는 협조가 필요한 검사이다.
문 3. 답 ②
해 설 상전정신경의 지배를 받는 상반고리관, 측반고리관, 난형낭 이상이 관찰되며 후반고리관과 구형낭은 보존되어 있는 검사 소견이다.
문 4. 답 ③
해 설 아래쪽으로 나타나는 안구 움직임은 일반적으로 자발안진이나 검사 error 등으로 생각된다.
Otology
문 1. 답 ②
해 설 ① I파는 청신경의 말단부, III파는 와우핵, V파는 외측 융대에서 유래한 것으로 알려져 있다.
② 자극음을 높이면 잠복기는 짧아지고 진폭은 커진다.
③ 청성뇌간 반응은 청성유발전이의 초기 반응에 해당한다.
④ 청력 역치평가에서 click음을 이용한 경우 1~4 kHz의 고음역에 대한 반응이 주된 반응이다.
⑤ 소음은 청성뇌간 반응검사에 영향을 준다.
참고 문헌: 대한이비인후과학회. 이비인후과학. 파주: 군자출판사;2018. p233-5.
문 2. 답 ④
해 설 참고 문헌: Shi L, Chang Y, Li X, Aiken S, Liu L, Wang J. Cochlear synaptopathy and noise-induced hidden hearing loss. Neural Plasticity 2016;2016:6143164.
Rhinology
문 1. 답 ④
해 설 양압기 사용 압력을 낮춰서 순응도를 높일 수 있다.
문 2. 답 ③
해 설 비강 수술이 수면 무호흡에 미치는 효과는 경도의 수면 무호흡 환자에서 더 크다.
Head and Neck
문 1. 답 ①
해 설 human papilloma virus의 E6와 E7 유전자 산물은 p53을 비활성화한다. p53은 방사선, 화학 발암 물질 또는 다른 원인에 의한 DNA 손상 시 세포를 보호하는 역할을 한다. 즉, 세포 내의 DNA가 손상을 입으면 정상 세포주기를 차단하는 p53의 발현이 증가되어 비정상적인 세포가 증식하기 전에 DNA가 복구되게 된다.
문 2. 답 ③
해 설 종양세포는 인체의 면역 공격을 회피하기 위하여 종양 미세 환경(tumor micro-environment)을 변화시켜 면역 기능을 억제하거나 T세포 면역 관용(immune tolerance) 또는 면역 편집(immuno-editing) 등을 통하여 면역 회피(immune escape)를 한다. 이러한 회피 전략의 하나로서 면역 검문(immune checkpoint) 기능의 변화를 통하여 종양특이 T-림프구 세포의 기능을 억제한다. 즉, 종양세포에서 이러한 억제 면역 검문을 활성화시킴으로써 종양특이 T-림프구 세포의 공격을 회피한다. 최근 CTLA-4나 PD-1 또는 리간드 PD-L1에 대한 단클론항체를 이용하여 그 기능을 억제함으로써 도리어 억제된 종양특이 T-림프구 세포 활성 및 효과를 증강시킴으로써 항종양 효과를 얻을 수 있다.



PDF
Citation
Print


XML Download