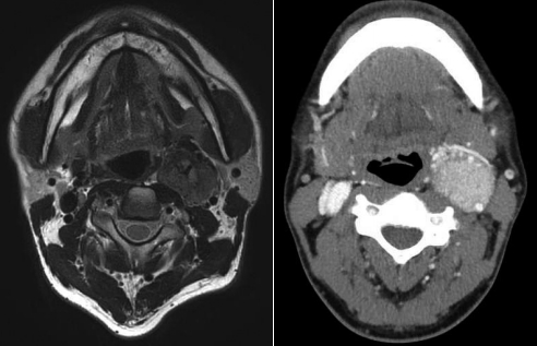
44세 남자 환자가 좌측 경부에 서서히 자라는 박동성 무통성 종괴를 주소로 내원하였다. 촉진 시 고무를 만지는 듯한 느낌이였고 좌우로 움직이나 상하로 움직이지는 않았다. 시행한 영상 소견이 다음과 같다. 이 질환에 대한 설명 중 맞는 것은?
① Catecholamine을 분비하는 경우가 흔하기 때문에 술 전 catecholamine 검사를 반드시 시행해야 한다.
② 조직학적으로 A ntoni A형과 A ntoni B형으로 구분되며 세포핵이 울타리 모양으로 배열하는 verocay body가 관찰되기도 한다.
③ 특징적으로 CT 또는 MRI에서 경동맥과 경정맥을 뒤쪽으로 전위시킨다.
④ 절개생검이나 세침흡인검사는 출혈의 위험이 있기 때문에 일반적으로 사용되지 않는다.
⑤ 누공로 fistula tract가 존재하기 때문에 수술 시 이를 추적하고 박리하여 적출하여야 한다.
정답 및 해설
답 ④
해 설 위 증례는 경부에 발생하는 박동성 종괴로, 위치상 총경동맥이 분지하는 부위에서 내경동맥과 외경동맥을 분리시키면서 커져있으므로 경동맥소체종양으로 진단할 수 있다. ① Catecholamine을 분비하는 종양인 pheochromocytoma가 동반될 수 있는 thyroid medullary carcinoma의 경우 체크하여야 한다. ② 답가지는 schwannoma에서 보이는 소견이다. ③ 내경동맥을 내측으로 외경동맥은 외측으로 전위시킨다. ⑤ 새열기형낭종이나 갑상설관낭종에 대한 설명이다.
참고 문헌: 대한이비인후과학회. 이비인후과학-두경부외과학(개정판). 서울: 일조각;2009. p.1769-70.



PDF
Citation
Print


XML Download