1. 다음은 수술 전 시행한 초음파 유도하 조직 생검에서 다형성선종이 진단된 65세 남자 환자를 종양을 제거한 직후에 촬영한 사진이다. 잘못된 설명을 고르시오.
① 안면신경은 경유돌공을 나와 이하선을 뚫고 상하로 나뉘는데 이를 거위발(pes anserinus)이라고 한다(화살표).
② Facelift 절개로 이개전 주름을 따라 내려온 후 이개를 돌아 이개하 주름을 따라 두발선에 연해 내려온다.
③ 피판을 올릴 때 박리면을 유지하면서 피하지방을 피부에 얇게 붙여 두는 것이 술 후 Frey 증후군을 예방할 수 있다.
④ 수술 중 안면신경에 대한 전기생리신경 감시를 하고자 할 때에는 마취제 중 장기간 근육마비를 초래하는 약제의 사용을 피해야 한다.
⑤ 미용적 재건을 위해 결손이 큰 경우에 흉쇄유돌근 일부를 상저부근피판으로 남은 이하선 피막을 봉합한다.
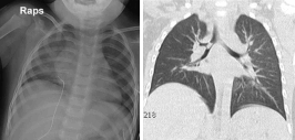
2. 3세 된 소아가 지속되는 발열과 기침, 객담 및 경도의 호흡곤란을 주소로 소아과의원에서 폐렴으로 치료받던 중 호전이 없어 내원하였다. 내원 당시 시행한 흉부 단순 촬영 사진과 경부 전산화 단층촬영 사진이다.
① 첫 24시간은 흉부 X-ray가 민감도와 특이도가 비교적 높다.
② 특별한 기도 이물 흡인 병력이 없으므로 퇴원 후 경과관찰을 한다.
③ 흉부 전산화단층촬영은 민감도가 거의 100%로 매우 높으나 특이도가 66.7~100%로 위양성이 보고된다.
④ 대부분의 기도 이물은 후두나 기관에 위치하며 기관지에 발생하는 경우는 비교적 드물다.
⑤ 이물질이 기도를 완전히 폐쇄하지 않고 적절하게 호흡이 가능한 환자라면 하임리히 요법 등을 시도하여 우선 제거해 볼 수 있다.
정답 및 해설
1. 답 ③
해 설 Frey 증후군을 예방하기 위해서는 피하지방을 피부에서 두껍게 붙여 두는 것이 유리하다.
참고문헌: 대한갑상선두경부외과학회. 갑상선·두경부외과학. 서울: 범문에듀케이션;2014. p.389-99.
2. 답 ③
해 설 첫 24시간은 흉부 X-ray가 민감도와 특이도가 가장 낮다. 특별한 기도 이물 흡인 병력이 없더라도 증상과 흉부 CT 소견으로 보아 좌측 기관지의 기도 이물을 충분히 의심할 수 있다. 대부분의 기도 이물은 후두나 기관에 위치하는 경우는 드물며 기관지에 주로 발생한다. 이물질이 기도를 완전히 폐쇄하지 않고 적절하게 호흡이 가능한 환자라면 하임리히 요법 등을 시도하면 완전 폐색을 초래할 수 있으므로 삼가는 것이 좋다.
참고문헌: 대한소아이비인후과학회. 소아이비인후과학. 파주: 군자출판사;2016. p.509-21.



PDF
Citation
Print


XML Download