23세 남환이 8개월 전부터 발생한 인후부 이물감을 주소로 내원하였다.
수양성 비루 및 두통 등의 증상은 동반되지 않았으며 이전에 코에 대한 수술 및 치료를 받은 병력은 없었다.
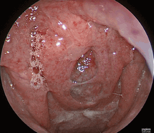
외래에서 시행한 비강 내시경 소견은 다음과 같다.
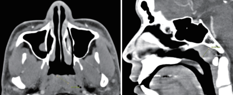
위 병변에 대해 조영증강 CT 검사를 시행하였으며, 조영 증강되지 않는 12×16 mm의 낭성 종괴가 비인강 상부에 확인되었다.
이 질환의 진단에 대한 일반적인 설명 중 옳은 것은?
① 대부분의 경우 코막힘 및 후비루 등의 증상을 동반한다.
② 이환율(incidence rate)은 0.1~0.2%로 알려져 있으며, MRI 촬영 영상에서 우연히 발견되는 경우가 있다.
③ 주로 10대에 발생한다.
④ 남성에서 호발한다.
⑤ 내시경 소견상 meningocele 또는 meningoencepahlocele을 감별해야 한다.
정답 및 해설
답 ⑤
해 설 진단명: Thornwaldt cyst
Thornwaldt 낭은 발생과정에서 퇴화하지 않고 잔존하는 척삭조직(notochord)과 비인강 내배엽조직(nasopharyngeal endoderm)에서 기원한다.
대부분의 경우 20~30대에 진단되며 남녀의 성비는 동일한 것으로 보고되고 있다.
발생률은 일반적으로 3~7% 정도로 보고되고 있으며 MRI 검사의 0.2% 정도에서 우연히 발견된다.
대부분의 경우 증상이 없고 일부 환자에서 이물감 등을 호소할 수 있으며, 크기가 큰 경우 비 폐색을 유발할 수 있다.
감별해야 할 질환으로는 수막류 또는 뇌수막류가 있으며 CT 또는 MRI를 통해 두개 내와 교통이 있는지 확인해야 한다.
크기가 작은 경우 치료를 시행할 필요는 없으나 크기가 크거나 증상을 유발하는 경우 경비강 또는 경구강 내시경을 통해 쉽게 제거할 수 있다.



PDF
Citation
Print


XML Download