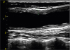
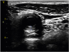
An 18-year-old man was admitted to our department because of arm claudication and right carotidynia. Physical examination revealed loud bruits over the carotid arteries bilaterally and asymmetrical upper limb blood pressure and pulses. Laboratory data showed microscopic anemia along with elevated ESR and CRP at 64 mm/h and 192 mg/L, respectively. Doppler ultrasonography of the neck revealed a long homogeneous, midechoic, circumferential wall thickening of both common carotid arteries (Figures 1 and 2). The Intima-media thickness of the right common carotid artery was 0.17 to 0.26 cm (the maximal normal value is 0.06 cm). This elementary ultrasound lesion, known as “macaroni sign”, is almost pathognomonic of Takayasu arteritis (TA).1) Computed tomography angiography of the aorta and its major branches showed a circumferential mural thickening of the thoracic and abdominal aorta. Furthermore, we noted high-grade stenosis of the following vessels: left subclavian artery, both renal arteries, and both superior and inferior mesenteric arteries.
TA is a large vessel vasculitis of unknown etiology. It involves mainly the aorta and its primary branches resulting in segmental stenosis, occlusion and/or aneurysms.
The disease follows a two-stage process, systemic stage or pre-occlusive stage characterized by nonspecific constitutional symptoms and elevated acute-phase reactants, followed by an occlusive stage, in which ischemic symptoms and signs dominate the clinical picture of the disease. The diagnosis of TA should be made during the early stage, where the arterial lesions are reversible. Otherwise, intimal and medial fibrosis occurs resulting in irreversible arterial stenosis and occlusion.
Although angiography is the gold standard in the diagnosis of TA, it usually misses arterial wall changes particularly in early stage of the disease. On the other hand, ultrasonography is a non-invasive and valuable tool for the diagnosis of early TA; it delineates artery wall swelling which is circumferential, long, and homogeneous. Moreover, ultrasonography is also used to monitor disease activity during the follow-up of patients with TA.



PDF
ePub
Citation
Print


XML Download