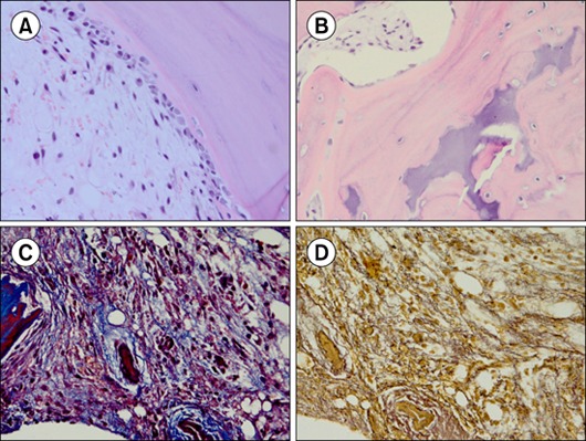
Vitamin D depletion may lead to metabolic bone diseases, including osteomalacia and myelofibrosis. A 23-month-old girl received a jejunum tapering and anastomosis for small bowel atresia after birth. She was diagnosed as having short bowel syndrome at Asan Medical Center after admission for recurrent vomiting. A Broviac catheter was inserted for parenteral nutrition following discharge. During another hospitalization, she complained of a hip pain. The radiologist interpreted the magnetic resonance image as bone marrow (BM) metastasis of a small round cell tumor or hematologic malignancy. BM study showed no malignant cells, but BM biopsy revealed prominently increased osteoblasts (A, hematoxylin and eosin [H&E] stain, ×400), abnormal osteoid production (B, H&E stain, ×400), consistent with osteomalacia, and focal myelofibrosis (C, Masson's trichrome stain, ×400; D, reticulin stain, ×400). The laboratory test results were as follows: normal serum calcium (9.0 mg/dL), phosphorus (3.6 mg/dL), alkaline phosphatase (341 IU/L); high parathyroid hormone (PTH) (35.6 pg/mL); low 25-OH-vitamin D3 (1.5 ng/mL), and low 1 alpha, 25-(OH)2-vitamin D3 (71.9 pg/mL). After 2 weeks of vitamin D treatment, PTH decreased to 10.6 pg/mL, and 25-OH-vitamin D3 and 1 alpha, 25-(OH)2-vitamin D3 increased to 13.0 ng/mL and 84.4 pg/mL respectively, which are normal.



PDF
ePub
Citation
Print


XML Download