Abstract
Intraosseous vascular lesions of the maxillofacial region are rare, and the differential diagnosis of intraosseous vascular malformations from other jaw lesions can be challenging. In the present case, magnetic resonance imaging and three-dimensional computed tomographic angiography (CTA) was used for diagnosis, and the lesion was treated wih surgical excision. Diverse characteristics such as the "honeycomb" and "sunburst" radiographic appearances and the absence of major peripheral feeder vessels in the CTA were noted. Intraosseous vascular malformations have a varied radiographic appearance, and the nomenclature of these lesions is equally diverse, with several overlapping terms. Pathologists do not generally differentiate among intraosseous vascular lesions on the basis of histopathology, although these lesions may present with contrasting immunohistochemical and clinical behaviors requiring varied treatment strategies. This case report highlights the need for multiple imaging modalities to differentiate among vascular lesions, as well as to better understand the behaviors of these unique lesions.
Intraosseous vascular lesions of the jaws include vascular malformations, arteriovenous fistulas, intraosseous hemangiomas, and aneurysmal bone cysts. Intraosseous vascular lesions are unique, comprising less than 1% of all intraosseous tumors, and are twice as frequent in females. Their symptoms may include an erythematous or bluish mass/swelling, discomfort, pulsatile sensation, and mobile teeth. Radiographically, these lesions appear as multilocular radiolucencies with small or large loculations. According to the classical description, the trabeculae are arranged in a manner resembling the spokes of a wheel or in a "sun-burst" appearance' radiating outward from the centre of the lesion toward the periphery.1,2
In the past, intraosseous vascular anomalies were frequently called intraosseous hemangiomas, which are now a matter of debate based on current evidence. The term "hemangioma" was largely used by pathologists to describe various vascular lesions without differentiating their histopathologic, immunohistochemical, and clinical behaviors.3,4 Therefore, imaging plays an important role in such situations for differentiating among lesions on the basis of morphology, feeder blood vessels, blood flow characteristics, and uptake of contrast agent.2
The present report demonstrates the appearance of diverse radiographic characteristics, while highlighting the need for multiple imaging modalities to differentiate among vascular lesions as well as to better understand their behavioral characteristics with the aim of planning optimum treatment strategies.
A 30-year-old female patient presented with a painful swelling in the left mandibular anterior region. The swelling had been enlarging gradually and had been symptomatic for 2 months. No history of trauma preceded the swelling. The patient's physical examination revealed no abnormality, and the vital signs were within the normal range. Facial asymmetry due to a solitary diffuse swelling measuring about 3 cm×2 cm on the left side of the mandible was evident. Tenderness and a local rise in temperature were noted, and the swelling was soft in consistency. Intraorally, the oval-shaped swelling was 3 cm×3 cm in size, extending from the left mandibular canine to the distal side of the left mandibular second premolar. The overlying mucosa appeared to be slightly bluish with a smooth and shiny surface (Fig. 1). On palpation, the swelling was soft and fluctuant in the buccal aspect. The adjacent left mandibular canine and the first premolar revealed grade I mobility. The clinical differential diagnoses considered were dentigerous cyst, unicystic ameloblastoma, adenomatoid odontogenic tumour, central giant-cell granuloma, aneurysmal bone cyst, and intraosseous vascular malformation and/or intraosseous hemangioma.
A routine radiographic examination was performed. The resulting panoramic radiograph revealed a well-defined multilocular radiolucency extending from the left mandibular canine to the left mandibular second premolar with the presence of small loculations and fine trabeculae (Fig. 2A). The roots of the left mandibular premolars were displaced laterally and showed no resorption. The mandibular occlusal radiograph showed bone spicules radiating from the buccal margins of the lesion, resembling a "sunburst" appearance (Fig. 2B). On the intraoral periapical radiograph, a radiolucent lesion with small loculations and a fine trabecular pattern, and having a honeycomb appearance, was clearly appreciable (Fig. 2C). The radiographic differential diagnosis of a multilocular lesion of the jawbone with a honeycomb pattern includes ameloblastoma, odontogenic myxoma, central giant-cell granuloma, multiple myeloma, aneurysmal bone cyst, and fibrous dysplasia. The multicystic (solid) variant of ameloblastoma typically appears multiloculated with internal septations manifested as a honeycomb or soap-bubble appearance. Odontogenic myxoma might present itself as an expansile, multilocular lesion with a tennis-racket or honeycomb-like pattern. Central giant-cell granuloma might appear as a poorly defined unilocular radiolucency or multilocular radiolucency with scalloped borders and is characterized by wispy ill-defined trabeculation. An aneurysmal bone cyst presents itself as a ballooned-out multilocular radiolucency with a honeycomb or soap-bubble appearance.5 These lesions show tooth displacement more commonly than root resorption. In our case, the "sunburst" appearance helped differentiate among the abovementioned lesions, all of which had a multilocular honeycomb appearance. Osteosarcoma also produces a sunburst appearance in addition to many different periosteal reactions, including an onion-skin appearance and asymmetric broadening of the periodontal ligament space. Fibrous dysplasia might also present itself with indistinct borders and a ground-glass appearance, while multiple myeloma might present itself with multiple lesions rather than multilocular lesions restricted to one jawbone.
Needle aspiration was performed on the buccal aspect of the lesion in the second premolar region, and the process yielded 3 mL of frank blood (Fig. 3). The presence of blood, demonstrated by the large number of erythrocytes, was confirmed through cytology, and a strong likelihood of the existence of a vascular lesion was established. Aneurysmal bone cyst, intraosseous vascular malformation, or intraosseous hemangioma was considered in the differential diagnosis following needle aspiration.
Magnetic resonance imaging (MRI) and computed tomographic angiography (CTA) with three-dimensional (3D) reconstruction were performed. The computed tomography (CT) images showed an expansile multiocular lesion with an indistinct periosteal reaction on the buccal cortex. Internal loculations were not clearly evident in the CT scan. The axial CT scan images showed a trabeculated lesion in the left hemi-mandible, with feeder vessels supplying the vascular lesion. A CT angiogram was obtained; it showed that the branches of the right external carotid and the facial artery were in close proximity to the lesion. However, the peripheral feeder vessel was not determined, and therefore, we considered the left inferior alveolar artery to be the feeder (Fig. 4A). Three-dimensional CT angiogram images showed a vascular lesion and the peripheral feeder vessel. The CT angiogram did not reveal any areas of nidus formation or entangled focus of blood vessels, as normally noted in the case of vascular malformations (Fig. 4B).
The T1-weighted MR images (T1WI) obtained using fat suppression (FS) showed a lesion with an iso-intense signal. Signal voids were not detected, suggesting a slow flow lesion. Internal loculations were noted in the coronal plane and the axial plane, suggesting multilocularity. The coronal T1WI (Fig. 5A) and the axial T1WI (Fig. 5B) showed an expansile low-intensity lesion in the marrow of the left hemi-mandible with a cortical break. The T2-weighted images (T2WI) showed hyperintense signals, thus confirming a vascular lesion (Fig. 5C). Axial T2WI showed high signal intensity and an expansile lesion in the marrow of the left hemi-mandible with a cortical break. MRI revealed the fluid-fluid levels in the aneurysmal bone cyst in T1WI, thus helping to differentiate it from vascular malformation. Further, Gd-T1WI showed heterogeneous signal intensity in the osteosarcoma, which was absent in vascular malformations. A slow flow malformation in the Gd-T1WI might sometimes present a "bubbly" appearance, which was seen in aneurysmal bone cyst (ABC) as well.5,6
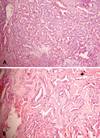
The lesion was excised, and on microscopic examination (Fig. 6), numerous small and a few dilated capillaries lined with plump endothelial cells were noted; a few areas showed active endothelial proliferation forming an indistinct vascular lamina. The final diagnosis was given as intraosseous vascular malformation of the left mandibular region based on the clinical, imaging and histological features. The 12-month follow-up did not reveal any recurrence.
Benign vascular anomalies can be broadly classified as hemangiomas (vasoproliferative tumors) and vascular malformations (Table 1).7 The vasoproliferative tumors include infantile hemangiomas and congenital hemangiomas (rapidly involuting congenital hemangiomas [RICH] and non-involuting congenital hemangiomas [NICH]). Infantile hemangiomas can be differentiated from congenital hemangiomas by the expression of the glucose transporter isoform 1 (GLUT1) protein in the former.8 Vasoproliferative tumors induce vasculogenesis (formation of primitive blood vessels from angioblasts) as opposed to angiogenesis (growth of vessels from preexisting vessels). Mast cells appear to promote apoptosis in involuting infantile hemangiomas,7 whereas proliferating hemangiomas frequently express the vascular endothelial growth factor (VEGF).9 Vascular malformations can be classified as follows: (1) slow- or low-flow and (2) fast- or high-flow malformations. Low-flow malformations contain combinations of capillary, venous, and lymphatic components. High-flow vascular malformations include congenital arteriovenous malformations and acquired arteriovenous fistulas.7 Vascular malformations can be confused with hemangiomas in adults. According to the current evidence, hemangiomas are unlikely to develop in intraosseous locations; therefore, previously reported cases of intraosseous hemangiomas are now considered to be vascular malformations.4
Vascular anomalies of the jaws are quite uncommon. When they occur, two-thirds are found in the mandible, with a female:male ratio of 2 : 1 and peak incidence in the second decade of life.10 The present case was seen in a 30-year-old female, in the left body of the mandible. These patients may present with slow-growing lesions since birth or lesions developing after blunt trauma. The associated symptoms may range from discomfort, oozing, and pulsatile bleeding from the gingiva around the teeth in the region of the lesion; bluish discoloration; mobile teeth derangement of the arch form; accelerated exfoliation and agenesis of teeth; and rarely, paresthesia and spontaneous bleeding. Blanching can be elicited on pressure, pulsation, and audible bruits.10 Bruit and thrill are generally seen in fast-flow vascular malformations, whereas reddish or bluish mucosal discoloration is observed in the case of hemangiomas and slow-flow vascular malformations.2 In the present case, a bluish intraoral swelling with mobile teeth and discomfort were the presenting symptoms.
The diagnosis is based on a combination of clinical features with a variety of imaging techniques, including plain radiography, Doppler ultrasonography, CT, CTA, MRI, magnetic resonance angiography, conventional angiography, and digital subtraction angiography.2,11 Based on the current evidence3,4,7 on intraosseous vascular lesions, the present case is described as an intraosseous vascular malformation.
The radiographic appearance of intraosseous vascular malformations is not pathognomonic and can simulate the appearance of many other bone lesions.1 Early lesions may present with only an alteration in the trabecular pattern. However, 50% of the cases present a multilocular radiolucency with large (soap-bubble appearance) loculations and rarely with small (honeycomb appearance) loculations.3 These corticated cyst-like spaces are visible because of the alignment of vessels in the direction of the X-ray beam. In addition, the present case showed a multilocular appearance with small loculations and fine trabeculae. Worth has shown trabeculae radiating from the center of the lesion, resembling the spokes of a wheel.1 Langland has further described parallel or tube-like arrangements of radiopaque striae.10 The multilocular appearance may sometimes be caused by a serpiginous deformity of the inferior alveolar canal, which may be enlarged along its entire length or in segments.10 A multilocular appearance with bony trabeculae radiating from a radiolucent center in a sun-burst pattern has been described. The present case showed the "sun-burst" appearance as a periosteal reaction in the buccal cortical plate, which is reportedly rare.1 In addition, the actual incidence of the periosteal reaction of the "sun-burst" appearance, associated with the "honeycomb" appearance, has not been documented in the literature.
Angiography is the gold standard for diagnosis, but it is invasive, time consuming, and traumatic, with a 1.3% risk of neurologic morbidity.2 CT scan can differentiate the extensive speculate pattern of periosteal reaction in osteosarcoma from the intraosseous vascular malformation, bone destruction and strands of a fine, lacelike density in myxoma, partially cystic meshwork divided by coarse septae of ABC, and ground-glass appearance with ill-defined margins in fibrous dysplasia.11 CTA with 3D reformations can be considered a first-line evaluation as well as a follow-up tool for the treated lesions.2 Three-dimensional reformation shows a tangle of disorganized, tortuous vessels feeding arteries and draining veins with a vascular network in between. The present case showed branches of the right external carotid and the facial artery in close proximity to the lesion. However, the major feeder is likely to be the left inferior alveolar artery.
MRI characterizes soft tissue tumor architecture but is limited when the lesion involves bone. In general, intraosseous vascular malformations show isointensity on T1WI and hyperintensity on T2WI.11 Slow-flow vascular malformations are characterized by a heterogeneous intermediate signal without flow voids on T1WI and high signal intensity on T2WI; they show enhancement with gadolinium. On T2WI obtained with the FS technique, the lesions show well-defined borders and high contrast against the surroundings, with the lesion appearing multispacial, multicystic, or partially solid.7 Fast-flow vascular malformations show serpiginous signal voids without a focal mass on both T1WI and T2WI.7 Lesions show heterogenic enhancement on gadolinium-T1 weighted images (Gd-T1WI) obtained with the FS technique.11 The present case showed homogenous signal intensity with isointensity on T1WI and hyperintensity on T2WI. The lack of signal voids suggests that the lesion is a slow-flow vascular malformation. Magnetic resonance angiography (MRA) is useful, but the turbulent flow within a vascular lesion causes intervoxel dephasing, thus leading to underestimation of the lesion size or overestimation of the thrombosis amount. Furthermore, calcifications and bone abnormalities are not detected with MRA.2
The range of treatments includes steroid therapy, carbon dioxide and argon laser therapy, sclerosing agents, irradiation, and surgical excision with and without the ligation of vessels and embolization.3 The present case was managed conservatively by a simple excision without embolization of any major blood vessel. The follow-up in the past 12 months has shown no recurrence.
In hindsight, the radiographic and imaging characteristics of intraosseous vascular malformations need to be well understood because such lesions can mimic many diverse lesion types. The rare case of intraosseous vascular malformation reported here highlights the need for diagnosis to be consistent with present terminology and nomenclature amongst disciplines for ensuring continuous evolution of better treatment strategies.
Figures and Tables
Fig. 1
An intraoral photograph shows a dome shaped bluish alveolar swelling in the left mandibular premolar region.
Fig. 2
A. A panoramic radiograph shows a multilocular radiolucent lesion in the premolar region with small loculations giving a 'honeycomb appearance'. B. An occlusal radiograph shows a periosteal reaction as a "sun-burst" appearance. C. An intraoral periapical radiograph shows a multilocular radiolucent lesion in the premolar region with small loculations.
Fig. 3
Histopathologic examination shows frank blood aspirate with cytology showing plenty of red blood cells (H&E stain, 45×).
Fig. 4
A. CT images show trabeculated lesion in left hemi-mandible, with vascular lesion and feeder vessel seen supplying the lesion. B. A 3-dimensional CT angiogram shows a vascular lesion and feeder vessel.
Fig. 5
A. A coronal T1 weighted MR image shows an expansile low intensity lesion in marrow of left hemi-mandible. B. An axial T1 weighted MR image shows low signal intensity expansile lesion in marrow of left hemi-mandible with cortical break. C. An axial T2 weighted MR image shows a high signal expansile lesion in marrow of left hemi-mandible with cortical break.
Fig. 6
Histopathologic examination shows plump blood vessels in a fibrous stroma suggestive of vascular malformation (A. H&E stain, 10×, B. H&E stain, 45×).
References
1. Zlotogorski A, Buchner A, Kaffe I, Schwartz-Arad D. Radiological features of central haemangioma of the jaws. Dentomaxillofac Radiol. 2005; 34:292–296.

2. Mazroa JA, Elrakhawy MM. What can 3D CT angiography add in evaluation of facial vascular lesions? Egypt J Radiol Nucl Med. 2012; 43:67–75.

3. Aldridge E, Cunningham LL Jr, Gal TJ, Yepes JF, Abadi BJ. Intraosseous venous malformation of the mandible: a review on interdisciplinary differences in diagnostic nomenclature for vascular anomalies in bone and report of a case. J Oral Maxillofac Surg. 2012; 70:331–339.

4. Greene AK, Rogers GF, Mulliken JB. Intraosseous "hemangiomas" are malformations and not tumors. Plast Reconstr Surg. 2007; 119:1949–1950.

5. Asaumi J, Konouchi H, Hisatomi M, Matsuzaki H, Shigehara H, Honda Y, et al. MR features of aneurysmal bone cyst of the mandible and characteristics distinguishing it from other lesions. Eur J Radiol. 2003; 45:108–112.

6. Som PM, Curtin HD. Head and neck imaging. 4th ed. St. Louis: Mosby;2003.
7. Lowe LH, Marchant TC, Rivard DC, Scherbel AJ. Vascular malformations: classification and terminology the radiologist needs to know. Semin Roentgenol. 2012; 47:106–117.

8. North PE, Waner M, Mizeracki A, Mihm MC Jr. GLUT1: a newly discovered immunohistochemical marker for juvenile hemangiomas. Hum Pathol. 2000; 31:11–22.

9. Zhang L, Lin X, Wang W, Zhuang X, Dong J, Qi Z, et al. Circulating level of vascular endothelial growth factor in differentiating hemangioma from vascular malformation patients. Plast Reconstr Surg. 2005; 116:200–204.




PDF
ePub
Citation
Print



XML Download