Abstract
Primary breast melanoma is extremely rare, and as such, there are no established radiologic findings in the literature. This report describes a case of primary malignant melanoma with mammography, ultrasonography, and magnetic resonance imaging findings. Our case study demonstrates a well-circumscribed heterogeneous rim-enhancing mass, with an internal cystic or necrotic portion seen using three modalities. Thus, although rare, this condition should be included in the differential diagnosis of a well-demarcated heterogeneous breast mass, and further pathological confirmation is needed.
Malignant melanoma of the breast has various manifestations, usually as primary malignant melanoma of the breast skin, malignant melanoma metastasis to the breast, or in-transit metastases to breast tissue and breast skin (1). Primary malignant melanoma involving breast parenchyma is extremely rare (12).
Here, we present a case of a 45-year-old female who had primary breast melanoma with mammography, ultrasonography, and magnetic resonance imaging findings.
A 45-year-old woman presented with a solitary, palpable mass in the left breast that she had noticed 2 months previously. There was not any remarkable personal or familial medical history. On physical examination, an approximately 4-cm sized, firm mass was palpable in the medial portion of the left breast without skin or nipple changes.
Left medio-lateral oblique mammogram (Senograph DMR; GE Healthcare, Milwaukee, WI, USA) showed an approximately 4-cm sized, round, ill-defined, high-density mass in the lower portion of the left breast and enlarged lymph nodes in the left axilla (Fig. 1A). There was no combined microcalcification within or around the mass. Ultrasonography (iU22 unit; Philips Medical System, Bothell, WA, USA) revealed an approximate 3.7 × 3.5 cm, round, microlobulated, low echoic mass with internal cystic portions in the lower inner quadrant of the left breast (Fig. 1B). Magnetic resonance imaging (Achieva, Philips Medical system, Bothell, WA, USA) showed a well-defined mass with heterogeneous high signal intensity and a dark rim on a T2-weighted image (Fig. 1C) and irregular enhancement on the rim and septum after contrast injection (Fig. 1D).
This lesion was considered as Breast Imaging Reporting and Data System category 5, and core needle biopsy and modified radical mastectomy were performed. Positron emission tomography-CT scan showed hypermetabolic uptake in the left breast mass, and no other abnormal hypermetabolic lesion (Fig. 1E).
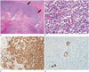
On gross specimen examination, the tumor was a firm, lobulated, and multifocal necrotic mass (5 × 4 × 4 cm). The cut surface was yellowish white and granular, and the overlying skin was not involved (Fig. 1F). Microscopically, the low power field view of hematoxylin and eosin staining revealed a hypercellular mass with multifocal internal necrosis and hemorrhage infiltrating to the adjacent breast parenchyma. On the high power field view, the tumor showed a diffuse, solid growth pattern without ductal differentiation. Tumor cells were highly pleomorphic and had clear cytoplasm and atypical nuclei. Mitoses were frequently seen. Intracellular pigments or granules were not observed. On immunohistochemical staining, tumor cells were positive for the proteins S-100 and HMB45, but negative for cytokeratin, while entrapped non-neoplastic ducts were negative for S-100 protein and positive for cytokeratin. The overall features supported the diagnosis of malignant melanoma (Fig. 2).
Malignant melanoma is probably the most important and common tumor that metastasizes to the breast, apart from primary contralateral mammary tumors and lymphomas and metastases from cutaneous malignant melanoma (3). Primary malignant melanoma can present with cutaneous tissue or breast parenchyma involvement. To date, a few cases of primary malignant melanoma in the breast have been reported, with most of them being cutaneous melanoma or focusing on the pathological findings (2). To the best of our knowledge, there is no ultrasound or mammographic description of primary malignant melanoma in the literature, with the exception of one case report (4). There has been no report of its MRI findings. Elena CT reported the first sonographic and mamographic findings of primary breast melanoma that were indicative of a benign lesion showing a well-demarcated mass (4). In our case, on mammography, a relatively well-circumscribed mass without any microcalcification was shown. Differential diagnoses could include benign lesions such as a fibroadenoma or well-circumscribed malignant tumors, such as colloid carcinoma, papillary carcinoma, and medullary carcinoma. On ultrasonography, a round, microlobulated, low echoic mass was shown. There was no significant increased vascularity on Doppler study, unlike the previously reported case. On MRI, a well-defined mass with heterogeneous high signal intensity and a dark rim was shown on a T2-weighted image (Fig. 1C). After contrast media administration, an irregular rim and septal enhancement were revealed. Commonly, a relatively well-circumscribed mass and suspected internal cystic or necrotic portions are seen with all three modalities.
Similar to metastatic melanoma in the breast, the radiological findings of primary malignant melanoma are not always distinguishable from primary breast cancer, or even from benign breast lesions (56). It is therefore necessary to perform confirmatory pathological diagnosis, including pathological morphology and immunohistochemistry: 1) pleomorphism of tumor cells and nuclear atypia; 2) scattered intracellular pigment granules (although there are 6-10% of malignant melanomas exhibiting little or no pigment, which are termed amelanotic melanoma); 3) immunohistochemistry results demonstrating the positive expression of the proteins S-100, HMB-45, and melan-A; 4) the edge of the tumor tissue and normal breast tissue does not exhibit a transition (7). Regarding immunohistochemistry, the positive expression of S-100 is an exceptionally sensitive indicator of malignant melanoma, however, it is also expressed in 50% of breast cancer cases. Therefore, it must be observed in combination with the positive expression of HMB-45 and melan-A for the diagnosis of primary melanoma of the breast. Among these two markers, HMB-45 is more commonly used as confirmative staining for malignant melanoma, whereas other indicators, such as CK, vimentin, and SMA demonstrate negative expression and indicate the presentation of other types of tumors. Furthermore, Ki-67 staining may be used to distinguish between benign and malignant tumors (8). Finally, it is very important that extramammary malignant melanoma metastases or tumor invasion from neighboring sites should be excluded before a diagnosis of primary malignant breast melanoma is established.
In summary, even though the radiological findings are non-specific, primary malignant melanoma should be considered in the differential diagnosis of a well-circumscribed heterogeneous solid mass with necrosis in the breast parenchyma.
Figures and Tables
Fig. 1
A 45-year-old woman with a palpable mass in the left breast that she noticed 2 months previously.
A. Left medio-lateral oblique showing an approximate 4-cm sized, round, ill-defined, high-density mass (black arrows) in the lower portion of the left breast, and enlarged lymph nodes (white arrow) in the axilla.
B. Ultrasonography showing a round, microlobulated, low echoic mass with internal cystic portions in the lower inner quadrant of the left breast.
C, D. Magnetic resonance imaging showing a well-defined mass with heterogeneous high signal intensity and a dark rim on T2-weighted image (arrows) (C), and irregular enhancement on the rim and septum after contrast injection (D).
E. PET-CT scan shows hypermetabolic uptake in the left breast mass, and no other abnormal hypermetabolic lesion.
F. On gross specimen examination, a firm, lobulated, and multifocal necrotic mass (5 × 4 × 4 cm) is revealed. The cut surface is yellowish white and granular, and the overlying skin is not involved.
PET-CT = positron emission tomography-CT
Fig. 2
Microscopic images of the breast mass.
A. In the low power view (× 40), hypercellular mass is infiltrating to the adjacent breast parenchyma (black arrows). Multifocal necrosis and hemorrhage are present in the tumor (white arrows).
B. In the high power view (× 400), the tumor shows a diffuse, solid growth pattern without ductal differentiation. Tumor cells are highly pleomorphic and have clear cytoplasm and atypical nuclei. Mitoses are frequently seen. Intracellular pigments or granules are not observed.
C, D. On immunohistochemical staining (× 400), tumor cells are positive for S-100 protein (C) and HMB45 (not shown), but negative for cytokeratin (D), while the entrapped non-neoplastic ducts are negative for S-100 protein (C) and positive for cytokeratin (D). The overall features support the diagnosis of malignant melanoma.
References
1. Ravdel L, Robinson WA, Lewis K, Gonzalez R. Metastatic melanoma in the breast: a report of 27 cases. J Surg Oncol. 2006; 94:101–104.
2. Bernardo MM, Mascarenhas MJ, Lopes DP. Primary malignant melanoma of the breast. Acta Med Port. 1980; 2:39–43.
3. Toombs BD, Kalisher L. Metastatic disease to the breast: clinical, pathologic, and radiographic features. AJR Am J Roentgenol. 1977; 129:673–676.
4. Teodorescu EC. Sonography and mammography of primary malignant breast melanoma. Med Ultrason. 2008; 10:55–58.
5. Loffeld A, Marsden JR. Management of melanoma metastasis to the breast: case series and review of the literature. Br J Dermatol. 2005; 152:1206–1210.
6. Bassi F, Gatti G, Mauri E, Ballardini B, De Pas T, Luini A. Breast metastases from cutaneous malignant melanoma. Breast. 2004; 13:533–535.
7. He Y, Mou J, Luo D, Gao B, Wen Y. Primary malignant melanoma of the breast: a case report and review of the literature. Oncol Lett. 2014; 8:238–240.
8. Ohsie SJ, Sarantopoulos GP, Cochran AJ, Binder SW. Immunohistochemical characteristics of melanoma. J Cutan Pathol. 2008; 35:433–444.



PDF
ePub
Citation
Print


XML Download