INTRODUCTION
Behçet's disease, which is a multisystem inflammatory disorder of unknown cause, is characterized by recurrent oral aphthous ulcers, genital ulcers, uveitis, and skin lesions (1). Involvement of the gastrointestinal tract, joint, central nervous system, and large vessels is less frequent. Although the neurologic involvement is less frequent than other major presentations, it is important because it produces severe disabilities and is associated with a grave prognosis (2).
Its cause is still unknown, but vasculitis is the major pathologic feature. It has long been postulated that immunological abnormalities, which are possibly induced by microbial pathogens in genetically susceptible individuals, are important in its pathogenesis (3). Involvement of streptococcal antigens has long been claimed in the pathogenesis of Behçet's disease, and flare of the manifestations was observed after dental treatment (4). There have been a few reports about increased oral manifestations after dental treatment or oral infection (4, 5), but reports about the recurrence of neuro-Behçet's disease (NBD) after dental treatment have not been reported.
The authors report a patient who had been in the remission state of NBD developed after tooth extraction and experienced second occurrence of NBD after tooth extraction, which illustrates that tooth extraction should be included among the trigger factors of NBD.
CASE REPORT
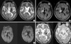
A 39-yr-old man visited the emergency department with a 7-day history of hypesthesia of the left face and extremity and ataxia. He had a history of memory disturbance, disorientation, and general weakness after tooth extraction at 6 yr ago. At that time he had recurrent oral ulcers and iritis. Pathergy skin tests were negative. Physical examination revealed multiple cutaneous lesions both legs, which were confirmed by biopsy as erythema nodosum. Brain magnetic resonance imaging (MRI) showed high signal lesions on both thalami (Fig. 1D). He was diagnosed with Behçet's disease, particularly NBD, according to the criteria of the International Study Group of Behçet's disease (6). Previously, he had been treated with a high dose of intravenous methylprednisolone, and his symptoms had improved prior to this presentation.
He remained stable for six years with an alternate dose of oral prednisolone (20 mg). Recent past medical history was not significant except treatment for a molar tooth extraction at a local dental clinic which occurred approximately 10 days before this presentation. Vital signs at admission were within the normal range. On physical examination, he had no distinct inflammation in the oral cavity but multiple brown and red colored skin lesions on both lower legs which were aggravated recently. Neurological examination showed hypoesthesia of the left face and extremity and ataxia as he fell to the left side when walking. He had attention deficit, memory disturbance, and disorientation, and also had a score of 22 on the Mini-Mental Status Examination. Other neurological examinations were normal.
Blood cell count, renal and liver function tests, and electrolytes were within normal limits. Erythrocyte sedimentation rate was 7 mm/hr, and C-reactive protein 0.2 mg/dL. HLA-B51 was negative. Pathergy skin tests were negative. Cerebrospinal fluid (CSF) examination showed clear color, slight high pressure (180 mmH2O), lymphocytic pleocytosis (25/µL), and normal protein and glucose levels. CSF immunoglobulin G slightly increased (4.69 mg/dL; normal range 0.00-4.00 mg/dL) and Ig G index was 0.562 (normal range 0.00-0.77). CSF culture was sterile and tests for herpes simplex, varicella zoster, epstein-barr, Japanese encephalitis virus were negative. T2-weighted MR images and fluid attenuated inversion recovery (FLAIR) images showed high signals in the right thalamus, and diffusion-weighted images showed slightly high signals in the same areas. MR angiography was normal. Previous lesions on the left thalamus disappeared (Fig. 1A-C).
He was treated with a high dose of intravenous methylprednisolone (1 g/day) for five days, followed by oral prednisolone (1 mg/kg). His symptoms slowly improved. On the fifth hospital day, he could walk unaided and had normal orientation. On the 10th hospital day, he was discharged without abnormal neurologic signs.
DISCUSSION
To our knowledge, there has been no report of recurrent NBD after dental treatment in the same patient. Neurologic manifestations of Behçet's disease are relatively rare, but they must be thoroughly assessed due to their grave prognosis. Central nervous system (CNS) manifestations can be divided into 2 main groups: 1) parenchymal CNS involvement (CNS-NBD) and 2) nonparenchymal CNS involvement (neurovasculo-Behçet's disease) (2). CNS-NBD is seen in the majority of patients and has a worse neurological prognosis. The male-to-female ratios in Behçet's disease are variable according to reports, but in Korea female predominance is a consistent finding (10). Neurological involvement in Behçet's disease occurs more commonly in men, with a male to female ratio of up to 4:1 (7). Our patient was male, and his neurologic manifestation and MR imaging were compatible with CNS-NBD.
The proposed aetiological factors of Behçet's disease still need to be clarified. Genetic, immunological, and microbial (viral and streptococcal) factors have been studied (7). HLA-B51 is a main possible genetic factor in Behçet's disease, but the exact mechanism of action is still unknown. Since Behçet's disease starts mostly from the oral mucosal surface, oral microbial flora, such as Streptococcus sanguis, have long been implicated in its pathogenesis. The relationship between streptococcal infections and Behçet's disease is supported by several clinical observations (4, 5, 8, 9). In patients with Behçet's disease, poor oral health, poor prognosis for natural dentition, frequent tooth extraction, and changes in oral pH have been previously reported (8). Accordingly, patients with Behçet's disease have a higher chance of dental treatment, and severe symptoms of Behçet's disease can be induced by dental treatment of patients with stable Behçet's disease (4). In this report, symptoms of Behçet's disease occurred immediately after dental treatment, thus supporting the theory that certain organism such as streptococci may be involved in the pathogenesis of Behçet's disease.
Etiopathogenesis of NBD remains to be elucidated. Autopsy studies and biopsy specimens of the CNS lesions are consistent with vasculitis with a clear venous predominance (2). Primary immune responses are not easily generated in the CNS due to immune privilege (3). Immune responses to offending agents take time, and the skin pathergy reaction is positive when the puncture causes an aseptic erythematous nodule or pustule at 24 to 48 hr. In our patient, NBD occurred twice 10 days after tooth extraction, and these findings support that immunological factors may be important in the pathogenesis of NBD. Therefore, careful observation and prevention are needed before performing dental procedures in patients with NBD.



PDF
ePub
Citation
Print


XML Download